דף הבית
אודות פרופ' ניסן
חשוב לדעת
מאמרים
הצוות המקצועי
טיפולים
גלרייה
About Prof. Nissan
צור קשר
תפריט
מאמרים
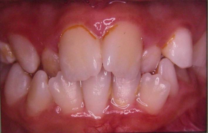
שיקום הפה
לפני ואחרי
צור קשר
שם:
מס' טלפון:
קידומת
02
03
04
08
09
050
052
054
055
057
058
072
077
כתובת דוא''ל:
לפני ואחרי